Dental Implants in Lutz | ClearCorrect in Lutz | Veneers in Lutz
Skip Menu
Continue
  • 17531 N Dale Mabry Hwy,
  • Lutz, FL 33548
  • Home
  • About Us
    • Our Office
    • Office Tour
    • Meet the Team
    • Smile Gallery
    • Dental Videos
    • Reviews
    • FAQ
  • New Patients
  • Meet Our Doctors
    • Jennifer Naoom, DMD, Board Certified Pediatric Dentist
    • Faddy Makaryus, DMD, Cosmetic, Implant and General Dentist
    • Monica P. Sanchez-Diu, DMD, Pediatric Dentist
  • General Dentistry
      • Oral Exams
      • Emergency Treatment
      • Periodontal Treatment
      • Laser Dentistry
      • Implant Dentistry
      • ClearCorrect®
      • Bone Grafts
      • Root Canals
      • Veneers
      • Crowns & Caps
      • Dental Fillings
      • Extractions
      • Oral Cancer Screening
    • View All
  • Pediatric Dentistry
      • FAQ
      • Dental Sealants
      • Extractions
      • Fluoride Treatment
      • Interceptive Orthodontics
      • Oral Exams
      • Pediatric Dentistry
      • Pediatric Emergency Treatment
      • Preventive Dental Care
      • Pulpotomy
      • Sleep Dentistry
      • Space Maintainers
    • View All
  • No Insurance?
  • Dental Health
  • Contact
    • Contact Us
    • Request Appointment

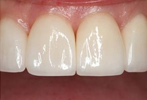
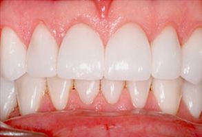
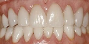
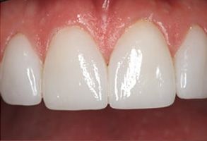
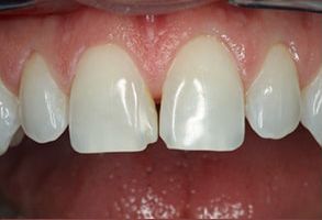
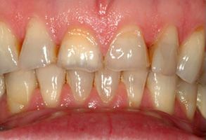
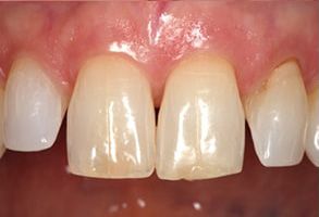
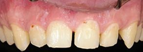
Smile Gallery

Additional Information

Our Location

17531 N Dale Mabry Hwy
Lutz, FL 33548
Existing Patients: (813) 444-5060
New Patients: (813) 518-0641

Follow Us

Thank You

We have received your form submission and appreciate your feedback. If you have any additional questions or comments please feel free to contact us directly.

We hope to see you again soon!

Submit